Case 5

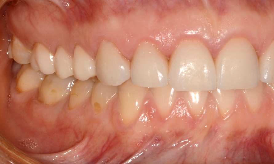
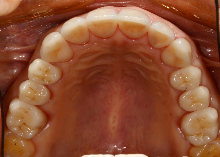
10 year follow up for a rehabilitation completed in 2011. Severe acid related tooth erosion with compensatory eruptions. Aesthetic crown lengthening to correct FGMs and gain more crown heights. Indirect composite onlays for the Lower posterior teeth (vs porcelain due to cost) utelizing an additive strategy to increase the VDO to create room for the maxillary restorations. Minimally prepared maxillary teeth with “natural shape and shade” emax pressed restorations restoring the smile she used to have.

 
05-2.png
 
 
05-6.png
 
05-8.png
 
05-9.jpg
05-10.png